ダイレクトボンディング症例

before

after
| 治療名称 | ダイレクトボンディング |
|---|---|
| 主訴 | 左下歯頸部の着色が気になる |
| 治療費用 | 33,000円(税込) |
| 治療期間 | 1日 |
| 治療内容 | 古い材料を削って取り除き、新しいコンポジットレジンを詰める。 |
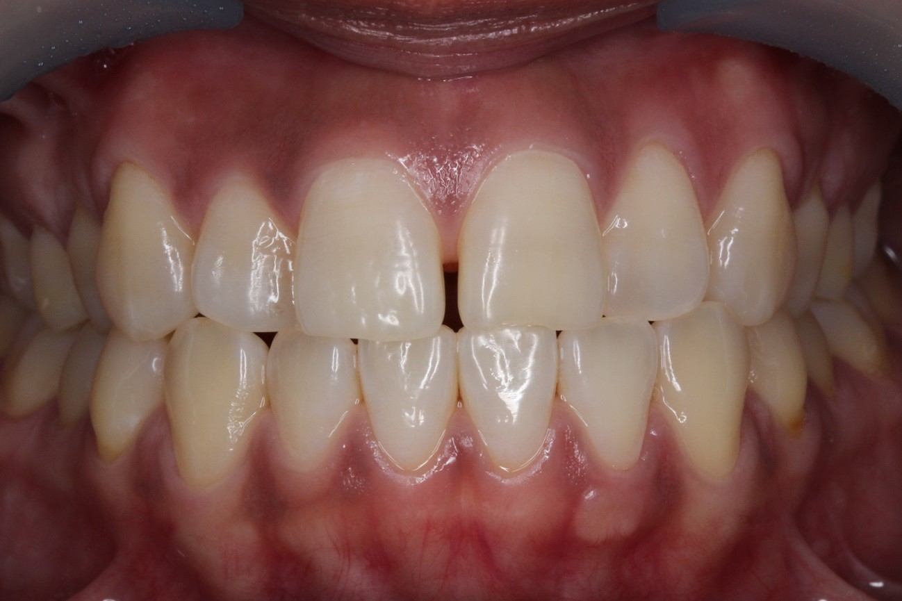
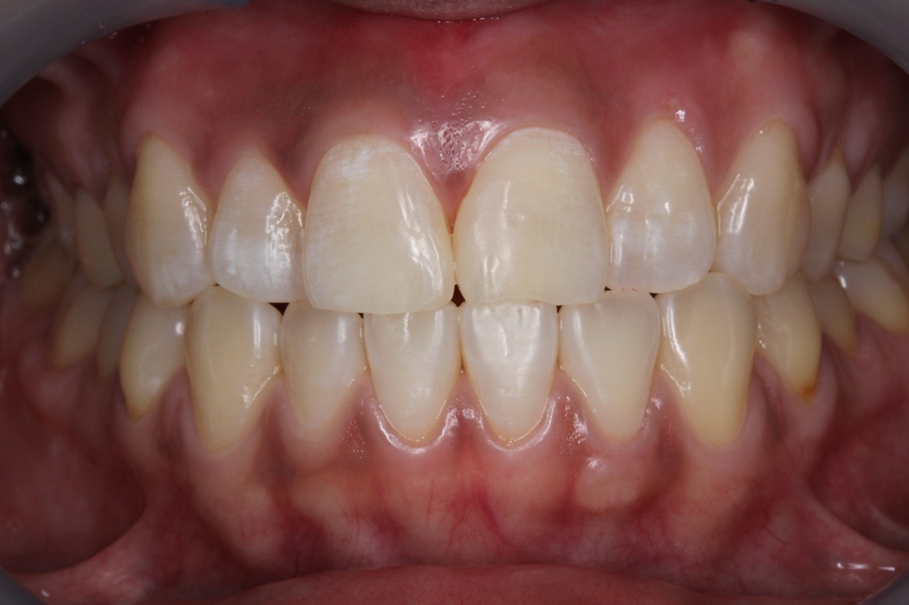
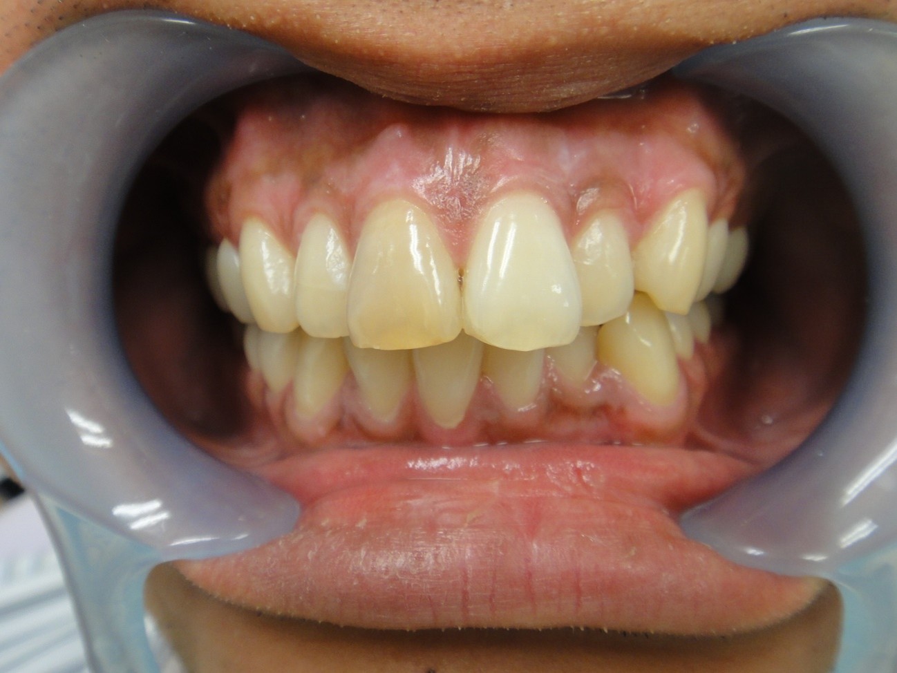
ダイレクトボンディング(前歯)症例

before

after
| 治療名称 | ダイレクトボンディング(前歯) |
|---|---|
| 主訴 | 前歯の隙間が気になる |
| 治療費用 | 33,000円(税込) |
| 治療期間 | 1日 |
| 治療内容 | 他のダイレクトボンディングと同じ。 削らずにエッジング(エナメル質を酸で溶かす)して、コンポジットレジンを貼り付ける。 |
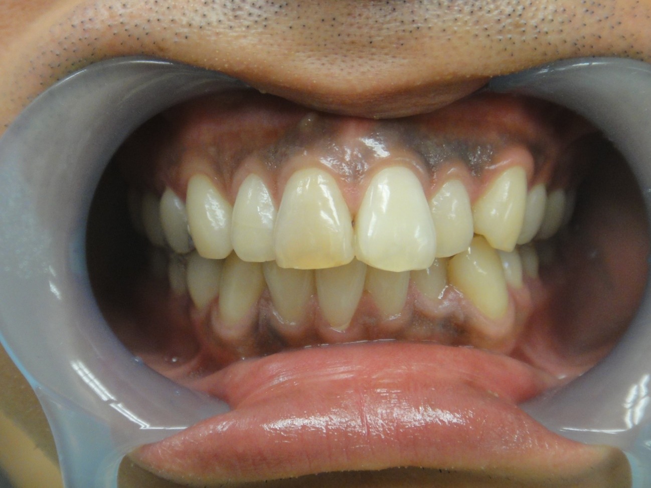
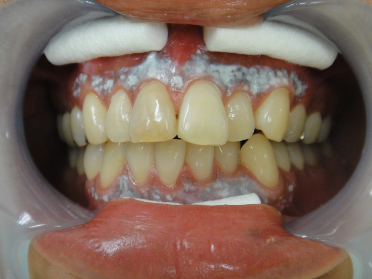
ガムピーリング症例

before

治療経過

after
| 治療名称 | ガムピーリング |
|---|---|
| 主訴 | 喫煙による歯茎の黒ずみが気になる |
| 治療費用 | 上下で8,800円(税込) ※もう少しピンク色にしたい人は半額で提供。 |
| 治療期間 | 1回(治癒まで3日) |
| 治療内容 | ・薬剤を塗布することで(白くなる)表面が剥がれていく ・2.3日で白くなった部分がピンクに戻ります |
| 注意事項 | 多少ヒリヒリする方もいらっしゃいます。 個人差もありますがそこまで痛みはありません。 辛いものを食べた時に若干ひりつくこともあります。 普通に帰宅した後に歯磨きしていただいて問題ありません。 |