PRGF®-Endoret®は、スペインのバスク州にあるBTI Biotechnology Institute社で開発された治療法で、現在では47カ国以上で実施されています。
この治療法は、歯科をはじめ、整形外科、眼科、美容外科、生殖医療など、多岐にわたる分野で利用されています。
特に、スペインのプロテニス選手であるラファエル・ナダル選手が、PRGF®治療を受けてケガから復帰したことでも広く知られています。
そのほかにも、数多くのプロスポーツ選手がこの治療を受け、ケガから回復しています。
現在、日本では主に歯科治療に使用されています。
PRGF®-Endoret®とは、私たちの血液に含まれる血小板の働きを活かした治療法です。血小板には傷を修復する「増殖因子」が含まれており、この因子が治癒を促進します。PRGF®-Endoret®は、この増殖因子に注目し、患者様自身の血小板を未活性の状態で取り出し、治療箇所に戻す際に活性化させることで、組織の再生力を高め、早期の回復を促進します。 歯科では、主にインプラント治療や抜歯後の治癒をサポートするために利用されています。従来、インプラント治療では骨を補強する際に動物由来の製剤や人工の骨補填材を使用することが一般的でしたが、これらは必ずしも完璧な解決策ではありませんでした。しかし、PRGF®-Endoret®では患者様ご自身の血液を使用するため、アレルギーや副作用の心配がなく、安定した治療結果が得られると高く評価されています。
成長因子の働きによって組織の再生が促進され、骨や上皮の治癒速度が加速します。インプラント治療では、従来の半分の期間で治療を終えることができます。親知らずの抜歯やその他の外科的手術にも効果的です。
⇨ より早く日常生活に戻れる!
「歯の治療は痛みや腫れがつきもの」と感じていませんか?痛みや腫れは炎症によって引き起こされますが、PRGF®を使うことで炎症が抑えられ、痛みと腫れも軽減します。
⇨ 痛みによるストレスを最小限に!
薬剤や動物由来の成分を使用することなく、患者様自身の血液を使用するため、副作用やアレルギーのリスクがありません。
⇨ 自分の血液だから安心!
まず、患者様から34ccの血液を採取します。
※通常、献血では400mlを採取しますが、PRGF治療ではごく少量の血液を使用します。
採取した血液を専用の機械で遠心分離し、成分を分けます。
遠心分離後、成長因子が豊富に含まれる血漿部分を取り出し、処理を行います。
処理した血漿を患部に注入します。成長因子が組織の再生を促進し、治癒が加速します。
PRGFなし

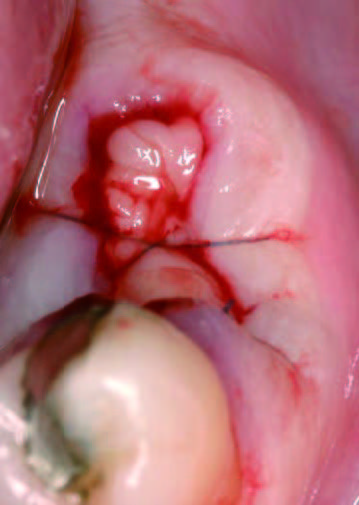
抜歯直後

15日後歯肉の状態
PRGFあり

抜歯とEndore填入

15日後歯肉の状態
抜歯後にできた穴にPRGFを注入すると、上皮や骨の再生が促進され、短期間で穴が塞がります。また、抜歯後の痛みや腫れも軽減されるため、回復がスムーズに進みます。
一方、自然治癒の場合、穴が完全に塞がるまでに数ヶ月かかることがあります。その間に、ドライソケット(抜歯窩治癒不全)を引き起こしたり、食べ物が詰まることで痛みや悪臭が発生することもあります。
PRGF®-Endoret®は、自身の血液を活用し、組織再生を促進する革新的な治療法です。インプラント治療や抜歯後の治癒を迅速に進め、痛みや腫れを軽減し、回復を早めます。安全性が高く、副作用の心配がないため、安心して治療を受けることができます。PRGF®-Endoret®は、治療期間の短縮や、より良い治療結果を求める方にとって、非常に効果的な選択肢です。
治療をスムーズに進め、早期の回復を目指すために、PRGF®-Endoret®をぜひご検討ください。