根管治療|葛西駅前の歯医者【クレア歯科医院】

根管治療

MEDICAL

歯の神経を守る「根管治療」

虫歯治療のページでC1、C2に関してはお話しましたが、それ以降のC3、つまり虫歯が原因で歯の神経が露出してしまった状態や、
C4、虫歯の進行により歯の頭の部分(歯冠)を大きく失って歯の根(歯根)だけになってしまった状態の治療方法をご説明します。
通常の治療を行うと残念ながら歯を保存することが難しく抜歯になってしまうケースもあるため、なるべく歯を残すために歯の神経の専門的な治療である「根管治療」を行うことが重要です。 一般的には「神経の治療」や「歯の根の治療」などと呼ばれることもありますが、実際にはかなり専門的で高度な治療となるため、経験豊富な歯科医院で行うことが重要です。 根管の形態は非常に複雑なことや根管治療の際には綺麗に取り除かなければいけない「歯髄」という組織の重要性などの理由で、正直なるべくなら避けたい治療でもありますが、むし歯が進行してしまい何とか歯を抜かずに済ませるためには必要不可欠な治療となります。

歯の神経の重要性

よく「歯の神経」と言われているのは、歯の一番内側(中心部)にある「歯髄」という組織です。
この歯髄は神経だけでなく細い血管も入り込んでおり、この血管から歯は栄養を供給されていますし、歯の損傷に対して免疫応答します。 また知覚がある(=痛みを感じる)ので、異常を脳に知らせることができ、さらに様々な刺激に対して第三象牙質を作り(自ら歯を作ります!)刺激から歯髄を遮断することなどもわかっています。
歯髄は、歯のためにこれだけ色々なことができる組織なので、歯髄を守る(保存する)というのが目標であることは、どの歯にとっても非常に重要です。 ある研究では「歯髄を取ってしまうと歯の寿命は10年縮まると予想できる」と結論づけたものもあります。同じ歯で比べることは不可能ですが、歯髄はそのくらい重要な組織ということです。

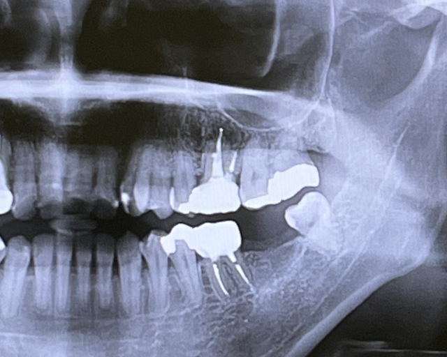
歯の神経のレントゲン

根管治療の目的

虫歯の進行が進んでしまって痛みが出ているケースやさらに細菌が歯の奥まで進行し、歯根の先に膿が溜まってしまっている状況などでは、根管治療がどうしても必要になってきます。
しかし根管治療が不適切に行われていると、数ヶ月後あるいは数年後、歯の根の中に細菌が入り込み、そこを腐らせてしまいます。精度の高い根管治療がされていても再感染を完全に防ぐことが難しいケースもある一方で、根管治療が丁寧に行われた歯はそうでない歯に比べて、再感染の確率が1/4になるというデータもあります。
歯根が腐ってしまったために歯を保存することができなくなり抜歯に至るケースもあります。歯根の内部が細菌に感染すると根の先に膿が溜まり、強烈な痛みの原因にもなります。根管治療は大きなダメージを受けてしまっている歯をなるべく長期的に機能させるための大事な治療です。

根管治療=高度な専門治療

どんな名医であっても全ての根管治療を「完璧」にすることはできません。その最も大きな要因は「見えない」ということです。実際に虫歯は目で見ることが可能です 実際に虫歯が進行しているところまで削って追及している間も常に虫歯は肉眼で「見えて」います。これに対して根管治療は、文字通り「根管」の治療です。まず歯の根(歯根)自体が歯茎の中にあり、歯根は細く、3次元(立体)的に曲がっています。 この細くて曲がっている歯根の中にあるのが「根管」で、根管は歯根の中で分岐している場合も多数あるので、光が届きづらいため視野が暗く、形態的にも肉眼で全体像を把握することは不可能です。
もちろん、マイクロスコープやルーペなどを使用することにより、細い根管内を拡大して見ること、また光の届きづらい根管内を明るく照らして見ることができます。ただ、これでも細く曲がりくねっている根管には見えない部分があります。
根管治療する際には、レントゲンなどでその見えない部分の形態を確認しながら慎重に進めていきます。ですが、レントゲン写真も2次元(平面)でしかないため完全に形態を把握することはできません。難しい根管の場合にはCTという3次元(立体)のレントゲンを撮影し、根管の形態を立体的に見て治療を進めていきます。
根管治療は「見えない部分」の「細かく難しい」治療なので、当院では様々な機材を駆使し、根管治療を「完璧」に近づけるよう努力しています。

根管治療のイラスト

精度の高い根管治療を行うために

根管内まで達した最近を取り除いて再感染しないように守るのが根管治療ですが、非常に難しい治療となっているため、必ず成功する治療ではありません。失敗して痛みが取れずに抜歯をしなくてはいけないという方もいらっしゃるのではないでしょうか?そこでクレア歯科医院では精度の高い治療を提供するための取り組みとして、下記を行っております。

01マイクロスコープで視野を拡大

根管治療は「見えない部分」の「細かく難しい」治療なので、肉眼で行う治療には限界があります。クレア歯科医院ではマイクロスコープを駆使し、視野を何倍にも拡大することで従来見ることができなかった、中に汚れが溜まっているかなど細かい部分まで見ることが可能となりますので、根管治療の精度を高めることができます。

マイクロスコープを使用している様子

02細菌を防ぐ取り組み

治療中は根管内を直接触るため、細菌がいっぱいの口の中から隔離する必要があります。そこで使用するのが「ラバーダム」というゴムのカバーです。これを使用し、患歯を口腔内から隔離して治療します。またラバーダムをすることにより、根管治療に使用する薬剤や器材が誤って口の中に落ちることもなく、より安全に治療することができます。根管治療が終了した後は、歯に接着できる土台や精度の高いかぶせもので、細菌が根管内に侵入するルートを封鎖することが望ましいと考えています。また、根っこの洗浄終わりに「MTAセメント」を使用することで、最近の繁殖を防ぎます。MTAセメントは殺菌作用が強く、根幹内が無菌化されます。

院長による治療の様子

03ニッケルチタンファイルの活用

根管治療では歯の根の汚れを除去する際にファイルという器具を使います。ニッケルチタンファイルは非常にしなやかであり、湾曲した歯の根の先まで治療が行えるため、成功率を高めることができます。

ニッケルチタンファイルのイメージ